您好!欢迎访问通宝TB888生物(青岛)有限公司网站!
基础医学科研服务者无忧 可视 高效 专业
全国咨询热线:17657166935
当前位置: 首页 > 新闻资讯 > 行业动态 > HE染色的原理和意义
通宝TB888

电话:17657166935

QQ:2301757537

地址:山东省青岛市城阳区上马街道河东路上马科技企业加速器202室

邮箱:longkesci@163.com

HE染色的原理和意义
发布时间:2024-01-19 浏览次数:
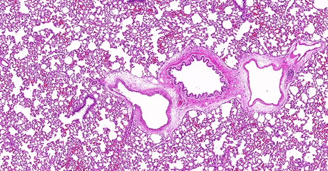
染色是一种常见的化学实验技术,用于在生物学研究、医学诊断、组织学研究等领域中显示和区分细胞或组织的结构和成分。其中,常用的一种染色方法是使用可溶于水的染料将细胞或组织中的特定结构染色,从而使其能够被显微镜观察和分析。在这个过程中,一种被广泛使用的染料就是“HE染料”。
HE染色

“HE染料”的全称是“Hematoxylin and Eosin”,即“血红木素和苏木精”。它由两种染料组成,分别是“hematoxylin”和“eosin”。这两种染料有着不同的性质和作用,在染色过程中发挥着重要的作用。
 
“hematoxylin”,它是从血红木树皮中提取得到的天然染料。它具有亲和力强、专一性好的特点,对细胞核和酸性成分具有较强的亲和力。在染色过程中,hematoxylin能够与细胞核内的DNA结合,使其呈现出蓝色或紫色的颜色。这使得我们能够清晰地观察到细胞核的形态、数量和位置,从而进行细胞结构和组织构成的分析。
 
“eosin”则是一种酸性染料,它具有亲和力强、颜色鲜艳的特点。在染色过程中,eosin能够与细胞内的碱性成分结合,使其呈现出红色或橙色的颜色。这样,我们可以通过eosin染色来显示细胞质、细胞间质和胶原纤维等碱性成分,从而更全面地了解细胞和组织的结构和组成。
 
“HE染料”的使用它可以帮助我们清晰地观察和区分细胞核和胞质等细胞结构,为研究细胞功能和病理变化提供了基础。其次,通过HE染色,我们能够获得组织的整体结构和组成信息,了解组织的功能和病理变化,从而为医学诊断和疾病研究提供了重要依据。此外,HE染色也被广泛应用于药物筛选、生物工程等领域,帮助科学家们更好地了解和探索生物体的奥秘。它的使用不仅加深了我们对生物体的认识,还为各个领域的研究提供了强有力的工具和手段。
 
通宝TB888
网站地图